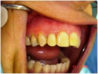
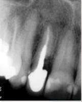
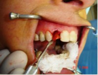
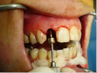
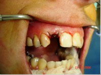
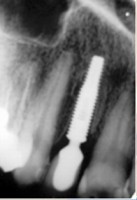
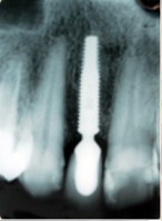
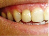
Carga Imediata após exodontia atraumática
Autor:
Hésio Magri de Lacerda - Mestre em Odontologia, Especialista em Implantodontia e Especialista em Periodontia.
www.cargaimediata.com.br
hesiolacerda@uol.com.br
www.cargaimediata.com.br
hesiolacerda@uol.com.br
Fatos interessantes pertinentes a este caso:
- Extração imediata
- Implante imediato
- Carga imediata
- Coroa protética cerâmica imediata
- Aplicação da cerâmica de baixa fusão direto sobre o pilar




























